お初の投稿させていただきます。営業部IRです。宜しくお願い致します。
我が家には猫が3匹いるのですが、そのうちの一匹長女のちゃ-ちゃん😀

この子が年始から食欲あまりなく、ぐったりすることが多く観られ 触ると機嫌悪く逃げる逃げる
これはついに尿路結石もしくは膵炎なのでは?と
家族みんなで考えはじめ・・・
というのも「ちゃ-ちゃん」うちの家に来てから7年目
そろそろ大病を患ってもおかしくない年齢なのです。
そして病院につれていき大病を先生から言いわたされるだろうと・・・覚悟を決め
検査もフルオプションでしていただき
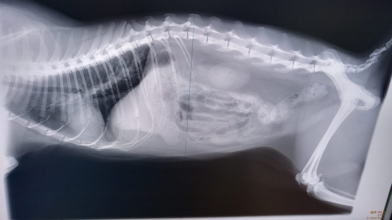
診察室でレントゲンを観ながら先生の診断結果を恐る恐る
お聞きしているとると・・・

写真の後ろ足の骨近くに5センチくらいの「うんち」が映っている
真ん中の腸には空気がつまってるとの事
結果
便秘 ガスだまり だそうな・・・
よかった—–
病気じゃなくて本当によかった。これが尿路結石とか腎臓の病気だったら
「ちゃ-ちゃん」が虹の橋に・・・最悪のことも考えていただけに・・・
検査費用もろもろ4万円・・・痛い出費だったけど
本当に大病にならずに良かった。
そのためなら4万や5万が飛んで行ったって
パパはへっちゃらだから
長生きしてね「ちゃ-ちゃん」







